移動床邊攝影進入百微新時代 安健科技發布國內首臺大尺寸百微移動X光機(DR)
發布時間:2022-06-09
伴隨數字化X線攝影技術發展與進步,X線攝影檢查在靈敏度、曝光寬容度以及影像清晰度等方面,都有巨大的進步。數字化X線攝影檢查在臨床具備廣泛的應用價值,其中,移動DR由于其良好的移動性能,可滿足床旁攝片。攝片流程簡單、快捷、便利、安全,在臨床上具有多種應用價值。包括如重癥患者、重癥新生兒患者以及術后不能搬動的患者,以及那些需要骨折牽引和老年體衰患者,通過移動DR的近床攝片都是最佳選擇。當前的移動DR支持無線可視化曝光攝影,極大提升攝片效率同時能大幅減少X線輻射影響。
新冠疫情期間,由于部分重癥患者及危重癥患者的病情嚴重,可快速進展為急性呼吸窘迫綜合征、膿毒癥休克、心肌損害以及難以糾正的代謝性酸中毒和凝血功能障礙,甚至死亡。因而對重癥與危重癥患者,常常需要進行氣管插管、體外膜肺氧合(ECMO)、血液凈化等綜合治療。由于難以前往CT室進行檢查,床旁移動DR檢查便成了評估肺部病灶進展的最佳手段。不僅如此,移動DR成像速度快、輻射劑量小、操作簡單、經濟適用,是新冠疫情期間全球抗疫中的重要檢查設備。

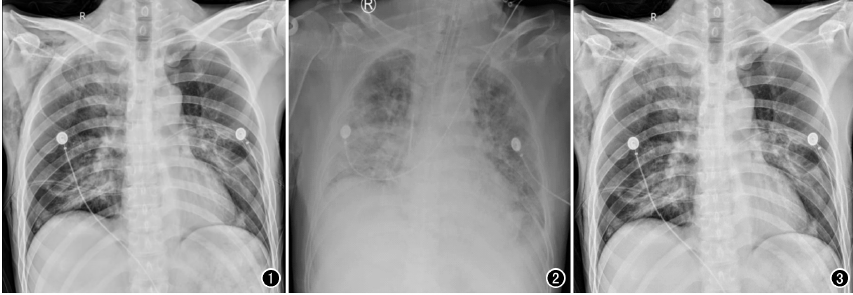
安健科技最新一代移動DR—飛燕Ⅱ,是國內首款大尺寸100微米超高清成像移動DR設備,具有1800萬像素的超高分辨率,讓床旁攝影的影像質量全面邁入高清時代。圖像質量不僅遠超當前市場上的移動DR設備,也遠超過當前大部分固定DR設備的圖像質量。

相較于普通DR的百萬攝影像素,近2000萬的高清像素,可以極大的提升床旁檢查效率,包括骨科、新生兒科、心臟外科、重癥監護科、急診科等患者的快速檢查。相較于目前市面上的低像素移動DR設備,100微米平板移動DR,在圖像的分辨率、寬容度上都全面優于常規的130微米左右的移動DR設備。
以心臟手術為例,開胸心臟手術多數是在低溫、全麻和體外循環下進行,胸腔創傷較大、風險極高,心臟術后,心外科醫師為了能及時了解術后患者的雙肺復張情況、氣管插管導管頭端位置以及手術并發癥等情況,需要及時對患者進行胸部X線片檢查,以便觀察氣管插管位置,一般來說,插管位置下端應位于第3胸椎水平,過深或者過淺都將影響呼吸機的輔助效果,應確保位置準確,以免影響通氣狀況。另外,包括對于相關手術并發癥的檢查,包括:胸腔積液、氣胸、肺不張等常見問題,需要及時進行胸部X光檢查。相較于幾百萬像素的移動DR,百微移動DR,在圖像質量上顯示更清晰,檢查效率更高,更利于醫生及時進行處置。
除了百微平板的極大優勢之外,飛燕移動DR采用了無線曝光與可視化曝光攝影解決方案,支持SID智能識別與調控,減少了影像技師擺位攝片的時間,也減少了由于線纜可能對重癥插管患者所帶來的醫療事故風險。此外,傳統不可視化曝光的操作特點,在如SARS、COVID-19此類病毒性感染場景中,由于病情發展變化較快,重癥患者需每日攝片了解病情,病情輕者則隔日攝片工作量大,放射操作人員所接受的輻射劑量多。通過可視化曝光,減少了對患者及操作技師的輻射次數,檢查耗時縮短,減少了技師與患者的接觸時間,在對傳染性疾病患者檢查時,降低了醫技工作人員的感染幾率。