配资炒股行情-股票杠杆app-【东方资本】,股票杠杆操作步骤视频,杠杆炒股平台下载安装,a股加杠杆怎么操作

「 珠穆 」懸吊動態DR全球兩大品牌之一

卓越動態成像技術

安健科技自主研發的動態探測器技術,讓臨床檢查具備可視化條件,并實現快速高清點片, 精準捕捉病灶。實現從二維解剖成像到器官功能成像轉變,讓診斷更精準。

高清動態

平板探測器

超大尺寸

超范圍

近千萬級

超高像素

極速

高清點片

DFP

同步曝光

4D十軸聯動運動系統

多功能懸吊式機械運動,全平衡穩定性設計,4D十軸聯動技術,機架運動自如平穩, 配合電動升降床及多功能立式攝影架,輕松滿足臨床全體位攝影需求。
  • 球管五向手自一體運動
    采用手動與電動一體化設計,并具備感應驅動功能,
    一鍵解鎖即可輕松操控球管的全向運動。
  • 探測器、球管雙向自動跟蹤
    探測器與球管可實現雙向自動跟蹤,
    立臥位高精度實時同步,大幅提高臨床檢查效率。
  • 全自動長骨拼接
    一鍵式拼接攝影拍攝程序,快速進行分段攝影,后臺
    自動處理拼接影像,使拼接成像高效精準。
  • 立臥位一鍵切換、—鍵到位
    全自動智能運動控制,射頻信號雙向接收設計,
    實現立臥位一鍵切換、一鍵到位,簡化操作,提升效率。
  • 電動升降床
    超大行程運動范圍,靈活應對兒童、老人、外傷患者上下床。
    配備嵌入式感應解鎖系統,輕松調節床高并有效避免患者誤觸。

輕松高效操作流

多功能懸吊式機械運動,全平衡穩定性設計,4D十軸聯動技術,機架運動自如平穩, 配合電動升降床及多功能立式攝影架,輕松滿足臨床全體位攝影需求。
  • 動靜雙板自由切換
    動態平板+靜態平板雙板配置,可實現毫秒級選板切換。
    配合手自一體懸吊式機械運動系統,多體位拍攝轉換輕松自如,大幅提升臨床檢查效率
  • 低體位靈活拍攝
    探測器和球管可降至緊貼地面,完成下肢多角度攝影,
    減少病人移動,同時便于兒童立位、四肢拍片。
  • 便捷操作臺
    集成化操控臺設計,全程支持隔室操控;
  • 無線遙控操作
    配備無線遙控器,遙控靈敏,設備運動反應迅捷,
    全程支持隔室遙控操作。
  • 機架內置語音對講系統
    機身內置專業醫用對講系統,語音系統采用高保真音效設計,音質清晰洪亮。
    操作醫師可隔室進行語音指導擺位攝片,患者在機房內可清晰接受室外操作醫師語音指令,提升擺位攝片檢查的安全性與效率。

高級智能應用

  • 智能觸控大屏
    液晶觸摸屏,觸摸操控設備運動,實時調整各類檢查參數,
    并同步顯示患者信息、曝光參數及擺位提示。
  • 任意鍵制動
    一鍵切換運動過程中,任意鍵可停止設備運動,
    保障運行狀態安全可靠
  • 任意鍵喚醒
    自定義設置待機時長,任意鍵喚醒,環保節能;
  • 智慧劑量控制
    自動曝光控制(AEC)功能,提升攝片影像質量同時
    有效降低攝片劑量,提升檢查效率。
  • 限束器智能縮窗
    根據不同部位自動設置照射野,減少散射線及不必要的X光劑量,
    提升影像質量。
  • 遙控器

    遙控器

    遙控器

  • 遙控器

    遙控器

    遙控器

卓越影像鏈

  • 高壓發生器
    優質、穩定射線輸出,滿足大規模連續拍攝需求,長時間運行不宕機。
  • 高熱容量球管
    優質、穩定射線輸出,滿足大規模連續拍攝需求,長時間運行不宕機。
  • 平板探測器
    千萬級像素無線平板探測器,智能在線充電
  • 影像工作站
    高質量影像即時處理,動態影像可局部放大,回放時可任意段截取,保存并 PACS傳輸。

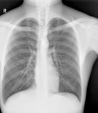
臨床圖像

有關安健
公司簡介
發展歷程
企業社會責任
包豪斯理念
新聞
公司新聞
創新產品矩陣
創新負重錐束 CT 系列
創新動態功能懸吊 DR 系列
創新動態斷層多功能胃腸 DR 系列
創新移動動態功能 DR 系列
創新DBT三維斷層乳腺機
創新移動動態 C 臂系列
用戶服務
客戶服務
客戶關愛
加入我們
社會招聘
校園招聘
成長在安健
聯系我們
聯系方式
客戶留言